 
					以前インプラント治療において、日本では様々な問題が取り上げられていました。
もちろん治療に対するリスクは今も変わっていません。
ただそのリスクを軽減させるために、現代のインプラント治療法や環境は大きく変わっています。
ここでは当院でのインプラント治療のシステムをご紹介いたします。
 
						検査の前に、インプラント治療の必要性を患者様としっかり話し合います。
その上でCTなどの精密検査を行い、安全で長持ちするインプラント治療が可能かどうかを判断いたします。
インプラント以外の治療を提案させていただくこともあります。
 
						ガイデッドサージェリーとは、パソコン上で3D設計した手術用のガイドを用いた、インプラント手術のことです。
ガイドを使用することによって、計画した通りの位置にインプラントを埋められることから、より安全で正確な手術を行うことができます。
当院ではスイス製のストローマンインプラントを使用しています。
ストローマン社は、10年間生存率(抜けずに残っている状態)が98%と、信頼性の高さが証明されていることから、世界中でトップクラスのシェアを誇っています。
メーカーごとにメインテナンスが異なるため、シェア率の高いストローマンインプラントであれば、全国各地でのメインテナンスも可能であることも大きなメリットです。
 
						インプラントも天然歯と同じように歯周病になります(インプラント周囲炎といいます)。
日々の歯磨きだけではインプラントを清潔にするのは難しく、不潔状態が続くと抜けてしまう恐れもあります。
当院では、インプラントを通じて良好なお口全体の健康維持のため、3~6か月に一度メインテナンスを徹底しております。
※メインテナンスに来ていただかないと、保証されませんのでご注意ください。
CT、3Dスキャンにより治療計画を立てます。
治療期間や治療方針、リスクなどをご説明します。
インプラントを埋入します。
治療期間や治療方針、リスクなどをご説明します。
セラミックの被せ物を取り付けます。
3~6か月ごとに行い、インプラントを長期的に維持します。
| インプラント診断料 | ¥23,000 | 
|---|---|
| 一次手術 | ¥200,000 | 
| 3Dガイド | ¥50,000 | 
| 骨補填材 | ¥40,000~ | 
| 上顎洞底挙上術 | ¥80,000 | 
| 二次手術 | ¥40,000~ | 
| アバットメント | ¥40,000 | 
| 上部構造 | ¥100,000~ | 
| インプラント治療総額1本あたり | ¥390,000~ | 
※税込み価格となります。
インプラント治療をイメージして頂くため、実際にアルファデンタルの院長先生の症例写真を御覧にいれましょう!
 
								まずは診査・診断です。顎の骨の状態、患者さんの健康状態、をしっかり把握してから手術を開始します。
 
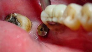
								このような器具を使って顎の骨に植えていきます。ITIのシステムを使用しております。
 
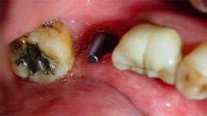
								インプラントが埋め込まれた状態です。
 
								その上に支柱をたてました。この状態で型を取ります。
 
								この模型上で・・・
 
								このようなものをつくります。
 
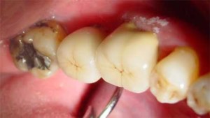
								先程の技工物を口の中にセットしました!めでたし、めでたし。